As anti-amyloid therapies for Alzheimer’s disease (AD) move from research into routine care, Amyloid-Related Imaging Abnormalities (ARIA) have emerged as a common adverse event. Many clinicians and radiologists today have not yet seen enough cases to confidently spot these subtle changes on Magnetic Resonance Imaging (MRI). Without focused training, ARIA can be missed or misinterpreted, putting patients at risk of complications.
This initiative fills that gap by providing:

This website has been developed through unrestricted grants from our sponsors, who had no involvement in its development or content.
Several amyloid‑β–targeting monoclonal antibodies have received regulatory approval for AD treatment. By clearing amyloid plaques, these agents can normalize amyloid positron emission tomography (PET) scans after several treatment sessions. An important adverse event is ARIA. These MRI‑detectable changes are thought to result from transient increases in blood–brain barrier permeability following rapid plaque removal. ARIA presents in two forms—ARIA‑E (edema/effusion) and ARIA‑H (hemosiderin)—which can occur independently or concurrently.





Hampel et al, Brain, 2023.
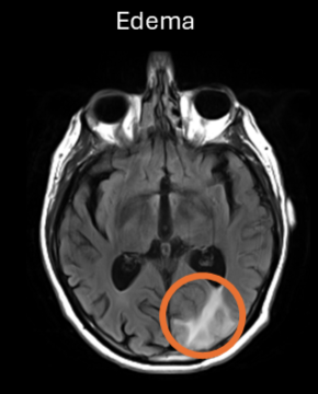
ARIA-E is caused by increased extravasation of protein-rich fluid resulting in vasogenic edema and/or effusion. MRI changes are best detected as bright signal on T2-fluid-attenuated-inversion recovery (T2-FLAIR) sequences.


ARIA-H is characterized by small deposits of blood containing hemosiderin, which can either be parenchymal (microhemorrhages) or superficial siderosis in the pial or subarachnoid space. These changes can be detected as dark signal on susceptibility-sensitive sequences, such as T2* gradient echo (GRE) or susceptibility-weighted imaging (SWI).


MRI – sequence
Appearance
Parenchymal
Sulcal
T2-FLAIR
bright
edema
effusion
T2* GRE or SWI
dark
microbleed
siderosis
ARIA occurs in 10–40% of patients treated with anti‑amyloid therapies, with rates varying by antibody and individual genetic risk profile. New ARIA‑H commonly co‑occurs with ARIA‑E. Each individual case should be assessed for risk factors, which could require more frequent MRI monitoring.
Appropriate Use Recommendations exclusion criteria for several anti-amyloid therapies are as follows:
EMA and FDA labels advise that caution should be exercised in all cases of pre-existing cerebrovascular disease. Clinical trials excluded patients with pre-existing white matter disease, ischemic infarction, ICH > 1 cm in diameter, > 4 microhemorrhages, and cortical superficial siderosis on baseline MRI. In cases with a history of ischemic infarction and white matter disease, cognitive impairment had a substantial vascular etiology, limiting potential benefit from anti-amyloid therapy. Furthermore, patients with ischemic lesions were more likely to require antithrombotic treatment, increasing the risk of ICH.
ARIA-E – resolution




For detection, pre-treatment and on-treatment scans should be compared side-by-side, for example, using PACS viewing environments with automatic linking by slice position. It is recommended that reading is done by an experienced reader, preferably a (neuro)radiologist with expertise in reading ARIA safety scans. Standardized reporting and timely communication of ARIA findings are essential for adequate management of ARIA, which may involve treatment interruption or suspension.
The core sequences for ARIA detection are T2-FLAIR and GRE. 3T scanners are recommended, as they detect abnormalities with higher sensitivity, although 1.5T scanners are also acceptable. It is of note that classification of ARIA-H is based on 2D GRE data, as these sequences have primarily been used in ARIA clinical trials. Efforts should be made to follow each patient with the same acquisition protocol, scanner, and coil. Detailed acquisition protocols for each MRI vendor can be found here.
| BASELINE | ASYMPTOMATIC | SYMPTOMATIC |
| 2D T2-FLAIR (or 3D)1 | 2D T2-FLAIR (or 3D)1 | 2D T2-FLAIR (or 3D)1 |
| T2* GRE | T2* GRE | T2* GRE |
| DWI | DWI | DWI |
| T2 Optional: SWI | Optional: SWI | + Additional sequences as needed |
BASELINE
———————-
2D T2-FLAIR (or 3D)1
T2* GRE
DWI
T2
Optional: SWI
ASYMPTOMATIC
———————-
2D T2-FLAIR (or 3D)1
T2* GRE
DWI
Optional: SWI
SYMPTOMATIC
———————-
2D T2-FLAIR (or 3D)1
T2* GRE
DWI
+ Additional
sequences as needed
1Even though 2D FLAIR was the sequence used during trials, 3D T2-FLAIR is preferred over 2D for superior spatial resolution and uniform cerebrospinal fluid (CSF) suppression
DWI = Diffusion-weighted imaging




An important differential for ARIA‑E is ischemic stroke. Both can present with non‑specific symptoms such as confusion, headache, and visual or gait disturbances. ARIA‑E edema appears as bright parenchymal hyperintensities on T2‑FLAIR, which can mimic ischemic stroke, but DWI can help distinguish the two—acute ischemic stroke shows diffusion restriction, whereas ARIA‑E does not.
Other causes of T2‑FLAIR hyperintensities to consider include subarachnoid hemorrhage, uncontrolled hypertension, low‑grade glioma, and posterior reversible encephalopathy syndrome (PRES). PRES can arise from drug toxicity (such as from antineoplastics, immunosuppressants, and glucocorticoids), severe hypertension, or sepsis, and often presents with symptoms similar to ARIA (see Clinical presentation and management).
The differential diagnosis for ARIA‑H includes trauma, stroke, clotting disorders, and cavernoma.
The severity of ARIA can impact clinical management; thus, classification should follow a standardized framework. While detailed lobar rating scales exist, a coarser general rating scale may suffice for clinical use.
ARIA-E rating is based on the largest in-plane diameter of the largest T2-FLAIR finding, with cut-offs < 5 cm, 5-10 cm and > 10 cm to define mild, moderate and severe stages. Studies have shown that whether you use the basic 3‑level scale (mild, moderate, severe) or the more detailed 5‑level scale (mild, mild +, moderate, moderate +, severe), the ratings agree closely with those from a fully region‑by‑region scoring system.
ARIA-H rating is based on the classification of the number of new microhemorrhages. The categories may vary depending on drug and region, but typically are 0-4, 5-9 and 10 or more new microhemorrhages (excluding pre-existing ones). Superficial siderosis areas are usually counted individually and not grouped, given their greater clinical relevance.
| MILD | MODERATE | SEVERE | |
|---|---|---|---|
| ARIA-E (sulcal or [sub]cortical) | 1 location <5 cm | 5 – 10 cm OR ≥ 1 location | > 10 cm |
| ARIA-H (new micro-hemorrhage) | ≤ 4 | 5 – 9 | ≥ 10 |
| ARIA-H (new superficial siderosis) | 1 focal area | 2 focal areas | ≥ 3 focal areas |
Note: This classification was implemented with axial T2-FLAIR and T2* GRE during clinical trials. Future clinical practice could implement a reassessed score that uses more sensitive protocols (e.g. including 3D T2-FLAIR and/or SWI).
Detection of ARIA requires frequent MRI monitoring. Depending on the specific drug, presence of symptoms, severity of ARIA, and risk factors (such as APOE ε4 genotype), the medication may be continued, interrupted, or suspended. Guidelines suggest continuing treatment if ARIA-E and ARIA-H are mild and asymptomatic (see Recommended literature). All clinical decision-making should be context dependent.
Caution is warranted in patients with pre-existing cerebrovascular disease. Baseline markers of CAA or prior ischemic stroke/brain injury may warrant exclusion from treatment, depending on their severity and extent. (see Recommended literature). These markers can be useful for personalized clinical decision-making.
Importantly, current appropriate use recommendations caution against the use of antithrombotic agents in patients under anti-amyloid therapy until additional safety evidence is available.
The introduction of anti-amyloid therapies in clinical practice will increase the number of MRI scans performed in patients with dementia. Scans will be needed first at baseline to assess patients for treatment eligibility and to exclude other disorders, and secondly for monitoring the potential occurrence of ARIA in those who commence therapy. Therefore, radiology departments will need solutions to manage the increased workload.
Potential solutions include: